Xin chào các gia đình,
Sau khi đăng bài trên group Kiến thức phẫu thuật & chăm sóc trẻ mắc khe hở môi vòm (sứt môi hở hàm ếch) về chủ đề ghép xương hàm trên, bác sĩ Phượng thấy rằng rất nhiều phụ huynh quan tâm về chủ đề này. Bên cạnh những nội dung đã chia sẻ, bài viết này bác sĩ sẽ chia sẻ thêm về các hình ảnh thực tế với các ca ghép xương hàm trên bằng xương tự thân.
Khe hở xương hàm trên là gì?
Sau khi phẫu thuật khe hở môi vòm, trẻ có thể vẫn còn tồn tại một khe hở cung răng và xương hàm trên. Để khắc phục khiếm khuyết còn lại này, phẫu thuật ghép xương là bước cần thiết, đóng vai trò quan trong quá trình điều trị toàn diện của trẻ bị khe khở môi vòm.
Vì sao trẻ mắc khe hở môi vòm có khuyết xương cần được thực hiện phẫu thuật ghép xương?
Phẫu thuật này mang lại lợi ích như sau:
- Hình thành tổ chức xương cần thiết cho quá trình mọc của răng trưởng thành và độ vững của răng trưởng thành sau này.
- Đảm bảo tính liên tục của xương hàm trên.
- Làm vững tổ chức nền tại chân cánh mũi bên khe hở, giúp cải thiện thẩm mỹ mũi.
- Riêng đối với khe hở xương hàm trên 2 bên: việc ghép xương còn giúp cố định mấu tiền hàm là phần xương ở phía trung tâm, phía trước của xương hàm trên.

Khi nào trẻ có thể thực hiện phẫu thuật ghép xương tự thân điều trị khe hở xương hàm trên?
Một số trung tâm ghép răng sớm, khi chưa có răng trưởng thành mọc. Tuy nhiên, việc ghép xương nên được thực hiện ngay trước khi răng trưởng thành mọc qua khe hở. Do đó bác sĩ có thể đề nghị cho trẻ chụp XQ nha khoa (panorama) để xác định về tình trạng mọc răng khi trẻ bước vào lứa tuổi thay răng.
Độ tuổi khuyến cáo, được chấp nhận tại nhiều trung tâm trên thế giới là khoảng 6-12 tuổi. Đây là giai đoạn răng hỗn hợp, nghĩa là răng trưởng thành sẽ thay thế dần răng trẻ em.
Việc phẫu thuật ghép xương tự thân điều trị khe hở xương hàm trên được bác sĩ Trần Đình Phượng thực hiện như thế nào?
Việc phẫu thuật ghép xương cần được xem xét và lên kế hoạch thực hiện làm sao cho phù hợp.

Đầu tiên, bác sĩ sẽ khám và đánh giá tình trạng khe hở, khai thác tiền sử điều trị để lên kế hoạch phù hợp. Trẻ có thể được chỉ định chụp phim để đánh giá tình trạng khe hở, thời điểm có thể thực hiện phẫu thuật và xây dựng kế hoạch phẫu thuật cho phù hợp. Trong quá trình đánh giá phim chụp, bác sĩ Trần Đình Phượng cũng sẽ thảo luận với bác sĩ chỉnh nha để có một kế hoạch phối hợp phù hợp và tối ưu cho trẻ.

Xem thêm: Vai trò của sự hợp tác giữa bác sĩ chỉnh nha và bác sĩ tạo hình trong điều trị khe hở xương hàm trên
Dựa trên kết quả khám lâm sàng, hình ảnh phim chụp, bác sĩ Phượng sẽ thảo luận với bác sĩ chỉnh nha để lên kế hoạch phẫu thuật ghép xương và chỉnh nha cho trẻ. Bước này rất quan trọng để đảm bảo việc ghép và kế hoạch sau ghép được phối hợp nhịp nhàng, mang đến kết quả tốt nhất cho trẻ.
Sau khi có chỉ định và kế hoạch ghép, bác sĩ phẫu thuật tạo hình sẽ thực hiện với các bước:
- Lấy xương ghép: Thông thường, xương được lấy từ chính cơ thể của trẻ, như xương cánh chậu.
- Đưa xương vào khe hở: Bác sĩ tạo hình sẽ ghép phần xương này vào vùng khe hở để tái tạo xương hàm trên.
Ưu điểm của việc sử dụng xương tự thân:
- Tỷ lệ lành xương cao
- Giảm nguy cơ đào thải
- Hạn chế biến chứng như nhiễm trùng, viêm xương
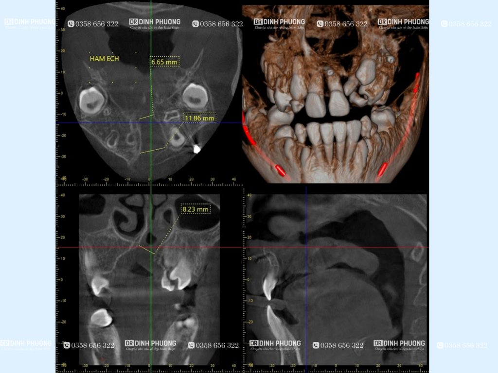
Giải thích về một số hình ảnh trong quá trình ghép xương
Phim chụp panorama và phim chụp CT Cone beam.
Hình ảnh cho thấy tồn tại khe hở cung răng và vị trí của mầm răng đang di chuyển từ vị trí sàn ổ mắt xuống khe hở, đây là thời điểm thích hợp để tiến hành ghép xương.
Vị trí lấy xương

Vị trí lấy xương là tại xương cánh chậu: ưu điểm giảm đau, xương xốp chất lượng tốt để ghép, sẹo sau pt sẽ được dấu khi trẻ mặc quần. Đặc biệt, nếu được chăm sóc tốt, gần như không thấy vết sẹo ở vị trí này.
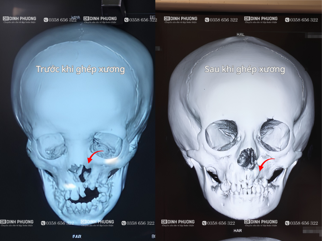
Hình ảnh bộc lộ khe hở xương hàm trên và sau khi ghép

Việc thực hiện ghép xương cần được thực hiện đúng kỹ thuật. Số lượng xương ghép phải đủ đê lấp kín vị trí khe hở theo không gian 3 chiều: chiều trên dưới, trước sau và hai bên khe hở. Việc này sẽ giúp nâng cao tỉ lệ thành công sau ghép, hạn chế việc phải ghép lại sau này.
Một số hình ảnh thể hiện kết quả sau ghép
- Kết quả ghép xương tự thân điều trị khe hở xương hàm trên của bạn M.V sau 1 tháng

Sau một tháng ghép xương, đánh giá hiện trạng vùng ghép lành thương tốt, răng mọc chui qua vùng xương ghép. Bạn nhỏ tiếp tục được chỉnh nha theo kế hoạch đưa ra ban đầu.
2. Kết quả ghép xương tự thân điều trị khe hở xương hàm trên của bạn M.H sau 6 tháng
Bạn M.H gặp bác sĩ Phượng ở thời điểm khi bạn gần 13 tuổi với tình trạng có lỗ thông mũi miệng. Gia đình có mong muốn chỉnh mũi và đóng lỗ thông. Tuy nhiên, sau khi thăm khám thì bác sĩ đánh giá bạn có khe hở xương hàm trên và cần điều trị khe hở này trước khi tiếp tục chỉnh nha. Sau khi thảo luận, gia đình và bác sĩ đã thống nhất kế hoạch để điều trị ghép cho bạn. Kết quả sau ghép, vị trí khe hở được đóng kín, xương sống tốt, thuận lợi cho bác sĩ chỉnh nha thực hiện các bước tiếp theo.

3. Kết quả ghép xương tự thân điều trị xương hàm trên qua hình ảnh phim chụp

Việc ghép xương tự thân điều trị khe hở xương hàm trên có đau không?
Rất nhiều mẹ lo lắng về việc ghép xương hàm trên có đau hay không?
Sau phẫu thuật, trẻ sẽ cảm thấy đau tại vị trí lấy xương. Bác sĩ sẽ có một số biện pháp hỗ trợ giảm đau và đi lại cho trẻ. Thường sau 1 – 2 tuần trẻ có thể đi lại được bình thường.
Cha mẹ lưu ý hỗ trợ trẻ chăm sóc răng miệng, giữ vệ sinh khoang miệng và vết khâu để vết thương chóng lành và đạt hiệu quả tốt nhất.
Xem thêm video về một trường hợp được bác sĩ Phượng thực hiện ghép xương tự thân điều trị khe hở xương hàm trên tại Đơn nguyên Tạo hình Sọ mặt và Thẩm mỹ, Bệnh viện Nhi Hà Nội.
Bạn nhỏ được bác sĩ Phượng ghép xương lần thứ 2 sau khi lần ghép thứ nhất trước đây chưa thành công. Mẹ đã rất lo lắng khi lần trước con rất đau. Trong lần ghép này, bác sĩ nghe con chia sẻ rằng con không cảm thấy đau nhiều, đánh giá kết quả sau hơn 1 tuần, lành thương của con rất tốt, con tiếp tục được theo dõi để chỉnh nha và đánh giá ngôn ngữ. Bố con khi đưa con đến gặp bác sĩ và mong muổn rằng con sẽ có được một kế hoạch điều trị toàn diện. Từ đó, bố mẹ nắm được lộ trình của con, đồng hành cùng con để con có được kết quả điều trị tốt nhất.
Mong là những chia sẻ này sẽ giúp bố mẹ có thêm thông tin về ghép xương tự thân điều trị khe hở xương hàm trên cho trẻ.
Thân mến
Bác sĩ Trần Đình Phượng